
0k+
Veneers placed
0+
Years experience
0%
Patient satisfaction



































See more results
Receive a thorough dental assessment lasting up to 60 minutes for

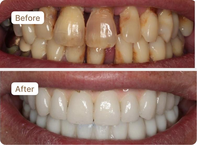
Premium ultra-thin ceramic shells that correct discolouration, chips, gaps, and uneven teeth — created by world-leading ceramists for a natural, bespoke result.
Addresses shape, colour, alignment and symmetry
Designed to enhance facial features
Long-lasting results with minimal tooth preparation
Trial smile preview included before commitment

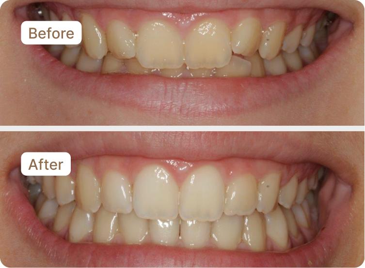
Professional whitening that lifts stains from daily life (coffee, wine, age) to give you a glossy, youthful smile fast.
Expert-selected whitening systems
In-clinic and home combo options
Boosts confidence before events or milestones

Fix chips, gaps or discolouration with tooth-coloured resin that blends seamlessly with your natural teeth.
Minimally invasive
Quick in-chair treatment
Ideal for minor cosmetic fixes

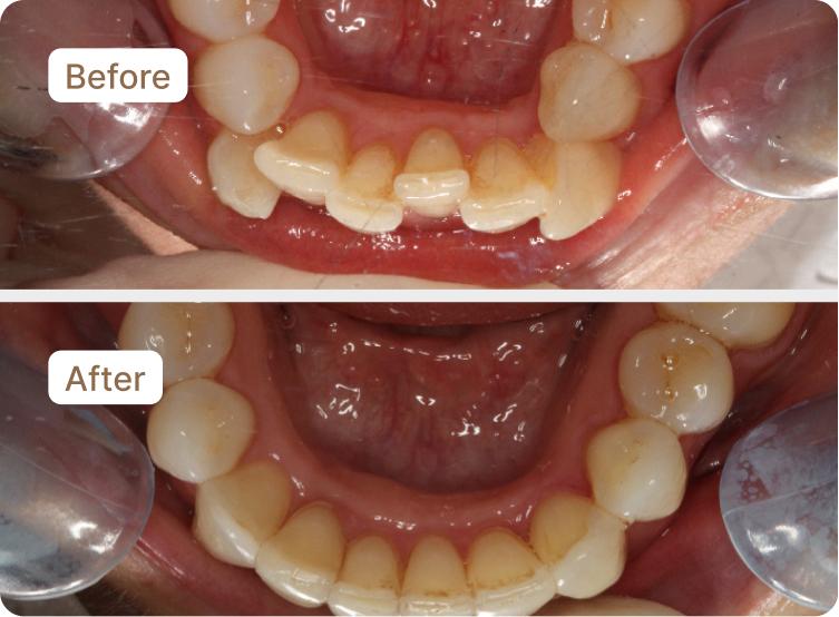
Modern clear aligners to gradually and comfortably shift teeth into position — discreet for adults and teens alike.
Almost invisible
Comfortable & removable
Tailored treatment plan from specialists

For missing or failing teeth, dental implants and advanced All-On-4 solutions can rebuild your smile permanently — stable, natural function and aesthetics.
Replace single or multiple teeth
Support for dentures without adhesives
Same-day full arch options available

A fully personalised combination of treatments designed to transform your smile, balancing teeth, gums and facial aesthetics for a natural, confident result.
Bespoke plans combining veneers, Invisalign, whitening and bonding
Digitally designed so you can preview your new smile before treatment
Focused on balance, function and long term stability
Led by an expert cosmetic and restorative team
One plan. One vision. A complete smile transformation.

Jaw pain, headaches, clicking, neck tension or grinding? That’s often TMJ disorder — dysfunction of the jaw joint that affects comfort, bite, and overall oral health.
At Harley Street Dental Studio, TMJ treatment isn’t a surface-level fix. We assess the root cause — bite alignment, joint position, muscle tension — and create a personalised, non-surgical-first treatment plan to restore balance, comfort, and function.
TMJ treatment may include:
Detailed bite, joint, and muscle assessment
Custom bite guards or splints to reduce grinding and relax the jaw
Orthodontic or restorative solutions where needed for long-term stability

Premium ultra-thin ceramic shells that correct discolouration, chips, gaps, and uneven teeth — created by world-leading ceramists for a natural, bespoke result.
Addresses shape, colour, alignment and symmetry
Designed to enhance facial features
Long-lasting results with minimal tooth preparation
Trial smile preview included before commitment

Professional whitening that lifts stains from daily life (coffee, wine, age) to give you a glossy, youthful smile fast.
Expert-selected whitening systems
In-clinic and home combo options
Boosts confidence before events or milestones

Fix chips, gaps or discolouration with tooth-coloured resin that blends seamlessly with your natural teeth.
Minimally invasive
Quick in-chair treatment
Ideal for minor cosmetic fixes

Modern clear aligners to gradually and comfortably shift teeth into position — discreet for adults and teens alike.
Almost invisible
Comfortable & removable
Tailored treatment plan from specialists

For missing or failing teeth, dental implants and advanced All-On-4 solutions can rebuild your smile permanently — stable, natural function and aesthetics.
Replace single or multiple teeth
Support for dentures without adhesives
Same-day full arch options available

A fully personalised combination of treatments designed to transform your smile, balancing teeth, gums and facial aesthetics for a natural, confident result.
Bespoke plans combining veneers, Invisalign, whitening and bonding
Digitally designed so you can preview your new smile before treatment
Focused on balance, function and long term stability
Led by an expert cosmetic and restorative team
One plan. One vision. A complete smile transformation.

Jaw pain, headaches, clicking, neck tension or grinding? That’s often TMJ disorder — dysfunction of the jaw joint that affects comfort, bite, and overall oral health.
At Harley Street Dental Studio, TMJ treatment isn’t a surface-level fix. We assess the root cause — bite alignment, joint position, muscle tension — and create a personalised, non-surgical-first treatment plan to restore balance, comfort, and function.
TMJ treatment may include:
Detailed bite, joint, and muscle assessment
Custom bite guards or splints to reduce grinding and relax the jaw
Orthodontic or restorative solutions where needed for long-term stability






Free Smile Consultation — Discover your perfect smile with a complimentary assessment from London's leading cosmetic dental team. Valued at £275, yours free today.
Take the quiz4questions. Only takes 60 seconds

Senior Partner & Cosmetic Dentist
With over 20 years of experience, Dr Adam Thorne is one of Europe’s leading cosmetic dentists and co-founder of Harley Street Dental Studio. A Diamond Apex Invisalign Provider, he combines advanced clinical expertise with a calm, reassuring approach to deliver naturally beautiful, long-lasting smile transformations.
Senior Partner & Cosmetic Dentist

General & Cosmetic Dentist
Dr Natasha Panesar qualified from the University of Birmingham in 2007 and specialises in aesthetic and restorative dentistry. She is known for her calm, caring approach and bespoke treatment plans tailored to each patient’s goals, timeframe, and budget. With a background in Fine Art, Dr Panesar brings an artistic eye to smile design, creating natural, balanced, and beautiful results.
General & Cosmetic Dentist

Cosmetic Dentist
Dr David Bloom is an internationally recognised cosmetic dentist and accredited member of the BACD. Trusted by celebrities and fellow dentists, he focuses on preventative care, oral health, and evidence-based cosmetic treatments to achieve natural, healthy smiles.
Cosmetic Dentist

General & Cosmetic Dentist (Implants & Facial Aesthetics)
Dr Rejin Khafaf qualified from King’s College London in 2007 and has over 12 years of experience in aesthetic, restorative, and implant dentistry. He is known for his meticulous attention to detail and use of the latest digital technology to deliver transformative, high-quality results. Dr Khafaf is passionate about working closely with patients to restore confidence and create natural, long-lasting smiles.
General & Cosmetic Dentist (Implants & Facial Aesthetics)

General & Cosmetic Dentist
Dr Anna Andrysiewicz qualified from the University of Lodz in 2001 and has extensive experience in restorative and cosmetic dentistry. She moved to the UK in 2006 and is known for her patient-first, minimally invasive approach and commitment to natural, long-lasting results. Dr Andrysiewicz regularly undertakes advanced training and is a member of the BACD, BAPD, and BDA.
General & Cosmetic Dentist

Restorative & Cosmetic Dentist
Mark is an extremely caring dentist and takes enormous pride in his work. He provides dentistry of the highest standard and believes in pain free treatment, clinical excellence and superb service. He has embraced digital and high technology dentistry for most of his career and uses the very latest cosmetic dentistry techniques, materials and equipment.
Restorative & Cosmetic Dentist

General & Cosmetic Dentist & Facial Aesthetics
Dr Anne Korkis is a triple-qualified dentist in the USA, Canada, and the UK, with advanced training from New York University and extensive experience in restorative, cosmetic dentistry, and facial aesthetics. She is known for her conservative, evidence-based approach and artistic eye, creating natural, personalised smile makeovers and facial treatments. Dr Korkis is an Associate Clinician at Harley Street Dental Studio and a member of the AACD, ADA, ODA, and BACD.
General & Cosmetic Dentist & Facial Aesthetics

General & Cosmetic Dentist
Graduating from Bristol University with multiple awards, Dr Andrew Bain has practised in London since 1997. He is known for his ethical, minimally invasive approach and for helping anxious patients feel comfortable without sedation.
General & Cosmetic Dentist

General & Cosmetic Dentist
Dr Nayan Patel is an accomplished general and cosmetic dentist with advanced training in restorative and aesthetic dentistry, holding Membership of the Faculty of Dental Surgery at the Royal College of Surgeons of Edinburgh. He is known for his precise, patient-focused approach and commitment to delivering natural, functional, and long-lasting results. Dr Patel combines advanced technical expertise with a calm, compassionate manner to create bespoke treatment plans tailored to each patient.
General & Cosmetic Dentist

General & Restorative Dentist
Dr Niall Lundy graduated from the University of Liverpool and holds Membership of the Faculty of Dental Surgery with the Royal College of Surgeons of England. He has completed advanced training in aesthetic and restorative dentistry and is undertaking a four-year postgraduate programme in prosthodontics at the Eastman Dental Institute. Dr Lundy is known for building strong relationships with patients and delivering high-quality, predictable dental care.
General & Restorative Dentist

TMJ & Orthodontic Dentist
Dr Ayhan Uyanlar is an internationally recognised expert in orthodontics, temporomandibular disorders, craniomandibular dysfunction, orthognathic (jaw) surgery, and obstructive sleep apnoea. He takes a holistic approach to joint function, considering posture, head and neck alignment, and overall musculoskeletal health. He combines precision, aesthetics, and functionality to deliver exceptional results that improve both oral health and overall quality of life.
TMJ & Orthodontic Dentist

Dentist & periodontal (gum) expert
Dr. Crystal Marruganti is a renowned London periodontist, specializing in gum disease, implants, and cosmetic treatments. With a PhD from Italy, she teaches at the University of Siena and has over 50 publications. In 2025, she was the first dentist in Forbes 30 Under 30 Europe for Science & Healthcare.
Dentist & periodontal (gum) expert
See more
















Get a complimentary, up-to-1-hour consultation with our world-class cosmetic dentists — valued at £275, yours completely free.



Free Smile Consultation — Discover your perfect smile with a complimentary assessment from London's leading cosmetic dental team. Valued at £275, yours free today.
Take the quiz!takes less than a minute
